Quatre structures sont adossées au service pour assurer et compléter son fonctionnement :
- une unité de bronchoscopie,
- une unité d’exploration de la plèvre,
- une unité de consultation,
- une unité de tabacologie.
1- Une unité de bronchoscopie dont l’équipement est un des plus complets de l’hexagone.
Elle permet la réalisation des
vidéo-bronchoscopies souples classiques sous anesthésie locale ou sédation par
protoxyde d’azote, la détection précoce des anomalies bronchiques par
techniques d’auto-fluorescence mais également toutes les techniques de ponction
des ganglions ou anomalies du médiastin (le tissu entre les 2 poumons qui
contient le cœur, des vaisseaux mais aussi de nombreux ganglions).
Ces ponctions peuvent être réalisées grâce au
guidage du scanner ou sous échographie endo-bronchique (photo 1). Le ganglion
fait ici mois de 10 mm de diamètre . il est au contact de l'artère pulmonaire
et pourtant il peut être ponctionné en toute sécurité grâce au guidage
échographique de l’écho-endoscope.
Le service réalise ces examens pour la grande région Rhône Alpes Auvergne.
Notre unité d’endoscopie possède également des
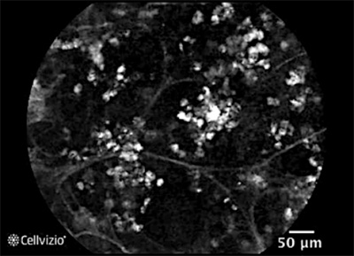
techniques d’imagerie et de guidage très sophistiquées comme la microscopie
confocale fibrée (seconde machine des 3 installées en France) et la navigation
électromagnétique de dernière génération (première des 2 machines installées en
France).
La microscopie confocale est une sorte de microscope qui permet de voir les cellules et l’architecture du poumon au cours d’une endoscopie et de façon totalement indolore. Elle a été obtenue par des fonds de recherche de l’INSERM et représente un outil très précieux de recherche.
La photo 2 vous montre la machine et la photo 3 une image obtenue.
Vous voyez par exemple ici le poumon d’un patient greffé pulmonaire : On retrouve le maillage régulier comme dans une ruche des alvéoles pulmonaires avec des cloisons très fines. Les cellules à l’intérieur (en blanc) qui font 10 à 15 microns sont des macrophages.



La navigation électromagnétique permet comme un GPS dans une voiture
d’être guidé dans les 3 dimensions à l’intérieur des bronches pour atteindre et
prélever une petite tumeur périphérique du poumon. C’est comme un voyage à
l’intérieur du scanner.
La machine a une précision de 2 mm !
Les photos 4, 5, 6 et 7 vous
montrent un exemple de guidage. Le point vert correspond à la cible à atteindre
et le chemin à suivre à travers le dédale des ramifications bronchiques en 3
dimensions apparaît en rose. Ici le prélèvement sera fait à 3 mm du centre de
la cible. On réalise maintenant cette navigation sous anesthésie
générale.




En 2019,
nous avons acquis une nouvelle technique : les minisondes échographiques.
Il s’agit d’une sonde
d’échographie miniaturisée puisque plus petite qu’une allumette en diamètre et
que l’on peut glisser dans le canal opérateur des endoscopes. Comme un radar,
elle tourne sur elle même sur 360° en émettant des ultrasons Poussée
dans les bronches périphériques dans les poumons, elle permet de repérer les
nodules pulmonaires en construisant leur image échographique et permet de les
prélever. C’est une technique complémentaire à la navigation électromagnétique
qui elle construit les images avec les rayons X.
La photo 8 vous montre ainsi un petit nodule détecté. Le
point noir au centre représente la sonde. L’image du nodule est en gris sombre
sur le fond plus blanc du poumon sain qui apparaît selon l’aspect dit « en
tempête de neige »

D’autres gestes techniques sont réalisées dans un bloc opératoire sous anesthésie générale. On peut ainsi enlever des tumeurs dans les bronches avec un bronchoscope rigide, les détruire en utilisant des températures élevées (Laser ou thermocoagulation) ou au contraire de très basses températures (-89°C) avec la cryothérapie. On peut mettre aussi des prothèses en silicone ou métalliques couvertes pour protéger et ré-ouvrir une bronche. Les photos 9 et 10 montrent ainsi la bifurcation de la trachée basse affaissée puis ouverte par une prothèse.


Dans une maladie respiratoire liée au tabac qu’on appelle l’emphysème, le poumon est distendu et trop rempli d’air ce qui induit une gène respiratoire progressive pénible. Le chirurgien peut enlever les zones les plus malades du poumon pour réduire cette distension.
Ces valves permettent à l’air de sortir de la zone traitée mais pas d’y entrer ce qui va petit à petit réduire le volume du secteur pulmonaire et donc réduire la distension.
2- Une unité d’exploration de la plèvre :
Grâce aux ultrasons, l’exploration de la plèvre se fait sans irradiation ni geste invasif. On peut déceler les pneumothorax (air dans la plèvre), les pleurésies (liquide dans la plèvre) (photo 11) ou repérer une masse ou un nodule pulmonaire au contact de la plèvre (photo 12)
Ensuite on peut réaliser une ponction très précise grâce au guidage de l’échographie
En
partenariat avec l’équipe de chirurgie thoracique, on peut aussi explorer par
une petite caméra la cavité pleurale. Ce geste s’appelle une pleuroscopie ou
thoracoscopie. Il permet de diagnostiquer les maladies de la plèvre sous
contrôle visuel et de réaliser un traitement local.
Le Professeur Marios FROUDARAKIS est un expert de ces techniques.


3- Une unité de consultation :
Elle a permis en 2018 de recevoir plus de 8300
consultants. Ces chiffres sont en croissance constante. Nous avions reçu
7100 consultants en 2016, 6000 en 2015 et par exemple 4500 consultants en 2013.
Plusieurs consultations sont ouvertes chaque jour sauf le week-end. Tous les
médecins pneumologues du service consultent, aidés par des pneumologues
spécialistes installés en ville à Saint Etienne. Ces consultations fonctionnent
sur rendez vous donnés au secrétariat de pneumologie. Pour consulter la
première fois en pneumologie, une lettre du médecin traitant est exigée.
4- Une unité de tabacologie :
Sous la direction du Professeur Jean Michel VERGNON. Les infirmières
tabacologues de cette unité aident et accompagnent les patients fumeurs dans leur sevrage. L’aide est
apportée par des consultations externes mais aussi directement dans les
services d’hospitalisation du CHU et à
l’ICLN. Cette activité est financée dans le cadre d’une mission
d’intérêt général (MIG).
Environnement du service :
Un service hospitalo-universitaire comme le nôtre travaille bien sur en étroite collaboration avec d’autres équipes. Le plateau médico-chirurgical et technique du CHU permet d’avoir toutes les ressources sur place. C’est une sécurité indispensable. Dans le bâtiment C par exemple, nos collègues cardiologues sont juste en dessus, les spécialistes de la médecine interne un étage en dessous. A cet étage se trouve maintenant aussi le service de soins palliatifs dans des locaux dédiés neufs. Les chirurgiens thoraciques sont au niveau 3 et les réanimateurs à quelques dizaines de mètres. Le laboratoire d’explorations fonctionnelles cardio-respiratoires indispensable pour nos évaluations est sur le même pallier que nous.